Cosmetic in Japan 美容医学への扉-東京大学美容外科-アンチエイジング
Japanese page
Web Master -Kotaro Yoshimura, M.D.-

 

 
     
     
 
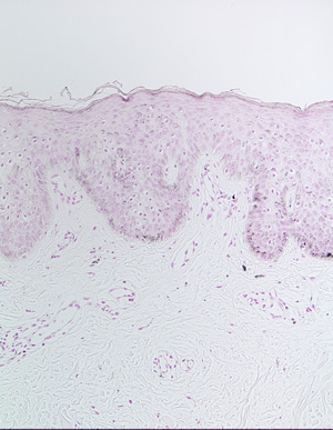
×100
 
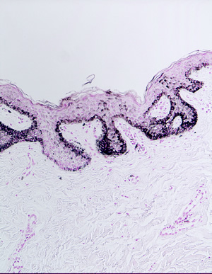
×200


 
 
     
 
 
×100
×100
     
 
 
×200
×200
     


1つ前のページに戻る

 

Copyright-美容医学の扉-東京大学美容外科、シミ、ニキビ治療、生まれつきなど